Centro de Diagnóstico San Lorenzo

Novedades y artículos médicos


  1. Exámen ecotomografía Santa Cruz

    Estamos orgullosos de anunciar nuestra apertura de la nueva sucursal de San Lorenzo. En su fase inicial, nuestro centro de imagenología ofrecerá exámenes de ecotomografías a precio FONASA, y muy pronto escáner TAC y resonancia magnética 1.5 Tesla.


    El nuevo centro de exámenes, busca fortalecer la oferta al servicio del diagnóstico médico, al igual que mejorar el acceso a infraestructura de calidad, imágenología de alta definición y el respaldo de la tecnología avanzada de nuestro centro de diagnóstico de alta complenidad en Rancagua.

  2. Exámenes oncológicos rancagua

    En nuestro centro de diagnóstico casa matriz de Rancagua, entendemos que la precisión depende directamente de la calidad tecnológica. Por ello, contamos con equipamiento de última generación que permite detectar sospechas en etapas iniciales.

  3. Exámenes en Rancagua de laboratorio e imagenología

    Con 14 años de experiencia en Rancagua, somos el único centro acreditado de la región en procesos de atención en salud en imagenología médica. Ofrecemos exámenes de alta resolución en instalaciones diseñadas para tu comodidad, seguridad y confianza.

  4. Enfermero interno de la Universidad O'Higgins

    Un score de calcio coronario, permite a los médicos identificar la acumulación de calcio y ajustar tratamientos para prevenir la aterosclerosis, una causa principal de ataques cardíacos. Es una técnica de diagnóstico por imagen que, a diferencia de otros métodos más invasivos, ofrece una evaluación rápida y no invasiva de las coronarias.

  5. En Centro de Diagnóstico San Lorenzo te ofrecemos tecnología de vanguardia para tus estudios médicos con imagen de alta calidad y exámenes de laboratorio. Todo en un solo lugar. Visítanos en calle Astorga 58 en Rancagua o conoce más de nosotros en nuestro sitio web.

  6. Enfermero interno de la Universidad O'Higgins

    Por primera vez, el centro de diagnóstico ha recibido a un interno de enfermería proveniente de la Universidad de O'Higgins (UOH) de Rancagua, marcando un hito en la formación práctica de estos futuros titulados. Esta colaboración no solo enriquece la experiencia académica del estudiante, sino que también pone de manifiesto la creciente demanda de enfermeros en entornos especializados que requieren una combinación única de habilidades clínicas, administrativas y de gestión.

  7. Gina Sarmiento especialista en TAC 128 canales

    Según Mayo Clinic, diversos estudios han demostrado que la colonoscopia virtual tiene una eficacia comparable a la tradicional en la detección de pólipos grandes y cáncer colorrectal. Su capacidad para examinar todo el abdomen permite identificar otras posibles afecciones, brindando un diagnóstico más completo.

  8. Gina Sarmiento especialista en TAC 128 canales

    Docentes de la Escuela de Salud conocen de cerca nuestra tecnología de vanguardia como centro de exámenes especializado en imagenología.La visita a nuestras instalaciones de Astorga n.°58 en Rancagua, se centró en conocer el nuevo TAC Neusoft de 128 cortes con inteligencia artificial.

  9. Centro de exámenes Santa Cruz

    La nueva sucursa en Santa Cruz, incluirá una moderna y cómoda infraestructura para quienes requieran de exámenes especializados sin la necesidad de salir de la comuna. Nuestro próximo nuevo centro de diagnóstico, viene a responder a la creciente demanda de servicios de exámenes especializados en la región, adaptándose a las necesidades de una población que valora la cercanía y la excelencia en la atención sanitaria.

  10. Gina Sarmiento especialista en TAC 128 canales

    Gina Sarmiento, tecnóloga radóloga y especialista en aplicaciones de tomografía computada (CT), estuvo a cargo del proceso de capacitación al equipo de tecnólogos médicos de nuestro centro de exámenes San Lorenzo Rancagua. En esta entrevista nos explica cómo esta tecnología impacta el diagnóstico por imagen y las ventajas que ofrece este tipo de tecnología para médicos y pacientes de la zona centro sur.

  11. Congreso neoplasias peritoneales chile

    Centro de Diagnóstico San Lorenzo ha incorporado un nuevo scanner TC de 128 canales con Inteligencia Artificial, el Neusoft 128Pro, comenzará a operar próximamente en las instalaciones de Astorga 58 en Rancagua. La llegada de este nuevo equipo marcará un hito en la atención, ofreciendo imágenes de alta calidad y sirviendo de apoyo al diagnóstico médico con tecnología de punta.

  12. Congreso neoplasias peritoneales chile

    Este evento de primer nivel a realizarse en la ciudad de Frutillar, región de los Lagos, reúne a destacados expertos, investigadores y profesionales en oncología quirúrgica para compartir conocimientos de vanguardia sobre el diagnóstico, tratamiento y manejo de estas neoplasias.

  13. Primer centro de salud en Rancagua y región O'higgins 40 horas

    En una ceremonia especial que reunió a diversas autoridades de la ciudad de Rancagua y de la región de O’Higgins, nuestro centro de exámenes se convierte en líder regional en la implementación de la jornada laboral de 40 horas, marcando un hito en la calidad de vida de sus colaboradores.

  14. diagnósticos complejos

    Nuestra amplia cobertura de exámenes en resonancia magnética 1.5 Teslas y 3 Teslas, PET-CT, escáner (TAC), ecotomografía, ecocardiograma, Rayos X, mamografía, hoy nos permite ser líderes en ofrecer una amplia gama de exámenes de alta precisión en apoyo al diagnóstico por imagen

  15. diagnósticos complejos

    Nuestra amplia cobertura de exámenes en resonancia magnética 1.5 Teslas y 3 Teslas, PET-CT, escáner (TAC), ecotomografía, ecocardiograma, Rayos X, mamografía, hoy nos permite ser líderes en ofrecer una amplia gama de exámenes de alta precisión en apoyo al diagnóstico por imagen

  16. trastornos de la articulación temporomandibular

    La articulación temporomandibular (ATM) es la conexión de la mandíbula al cráneo. Hay una conexión a cada lado de la mandíbula. Los ligamentos, tendones y músculos que soportan las articulaciones permiten que se mueven los maxilares. Los trastornos de ATM son dificultades que afectan las articulaciones y músculos que controlan la masticación y el movimiento de la mandíbula.

  17. Resonancia magnética y TAC coronario

    La tomografía computarizada y la resonancia magnética son técnicas de imágenes diferentes, que con los progresos tecnológicos tienen primer lugar en la evaluación cardíaca. La gran diferencia consiste en el uso de la radiación en el caso de TAC y en el uso de las ondas de radiofrecuencia en el caso de una resonancia magnética.

  18. importancia del lavado de manos

    En relación al COVID-19 y en función a la situación actual declarada, en Centro de imagenología San Lorenzo informamos de una serie de medidas que hemos implementado con el propósito de entregar una atención segura para nuestros pacientes y funcionarios.

  19. importancia del lavado de manos

    hay que tener en cuenta que los contrastes endovenosos yodados pueden producir alergias o interferir en la función renal de pacientes crónicos o transitorios, por lo tanto, todo examen radiológico que requiera algún tipo de contraste, ya sea vía oral o por inyección intravenosa, necesita complementarse con un examen de creatinina.

  20. importancia del lavado de manos

    Hoy en día la Organización mundial de la salud (OMS) considera la higiene de manos como una práctica que no solamente es importante para procedimientos quirúrgicos o relacionados con los procedimientos en el ámbito de la salud, sino también reconoce que tiene una evidencia científica en la prevención y control de infecciones.

  21. Resonancia magnética 1.5 y 3teslas

    La resonancia magnética es un estudio muy esencial en el apoyo clínico a médicos especialistas y pacientes que necesitan obtener más información en diagnóstico de enfermedades. Sus aplicaciones hoy en permiten hacer un mejor seguimiento al paciente en el control y tratamientos de enfermedades neurológicas, cardiológicas, osteoarticulares y cáncer.

  22. Creatinina y medios de contrastes

    Los agentes o medios de contraste como también se conocen, se utilizan en procedimientos de tomografía computada (TAC), o resonancia magnética nuclear. Estos permiten obtener imágenes más detalladas al interior del cuerpo, y realzar diferentes estructuras y asi distinguir mejor las normales de las anormales durante el examen para dar con un mejor resultado.

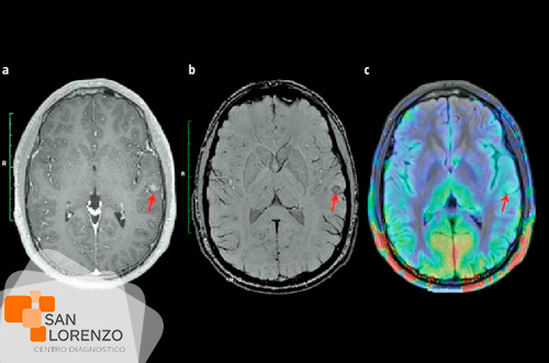
  23. El Alzheimer

    Hoy en día, el cáncer de próstata es el segundo cáncer más común en los hombres en Chile. Si bien el cáncer de próstata se ha estabilizado en los últimos años a nivel mundial, anualmente mueren aproximadamente 2.000 hombres por la causa de esta enfermedad. Sin embargo, si detectamos el cáncer prostático en etapa temprana, y hacemos el tratamiento adecuado, crece la posibilidad de curación exitosa.

  24. El Alzheimer

    Para mayor información, consulta o duda referente a nuestro examen.

  25. El Alzheimer

    Cada año en el mes de septiembre, la conmemoración del día mundial del Alzheimer busca concientizar y educar a la población sobre esta devastadora enfermedad que afecta a la población mundial.

  26. Resonancia magnética 3 Teslas

    Entre los avances que entrega este moderno equipo y su incorporación en San Lorenzo, es la tremenda capacidad resolutiva frente a problemas cotidianos en áreas médicas como oncología, cardiología, y neurología.

  27. Resonancia magnética 3 Teslas

    Su implementación permite diagnósticos prematuros de enfermedades tan complejas como el cáncer de mamas o prostático, lo que facilita el tratamiento adecuado.

  28. Ecocardiograma Rancagua

    En el mes del corazón, recordamos lo importante que es adoptar hábitos saludables que permitan protegernos de posibles enfermedades cardiovasculares. Por el contrario, la falta de ejercicio, una mala alimentación, pocas horas de sueño y estrés laboral, son solo algunos factores que amenazan nuestro bienestar y aumenta la probabilidad de padecer alguna enfermedad cardiovascular.

  29. Resonancia magnetica 3T

    Hoy en día contar con un resonador magnético de 3 teslas para la ciudad de Rancagua y región de O'Higgins, generará la posibilidad próximamente de acceder a nuevos exámenes que anteriormente no contábamos para pacientes y médicos de la zona centro sur.

  30. Ecocardiograma Rancagua

    La resonancia magnética 3 Teslas (RM 3T) es muy útil como apoyo clínico a médicos especialistas y pacientes que requieran información más precisa a través de imágenes en el estudio de enfermedades de alta complejidad, como también para la exploración de distintas partes del cuerpo aplicado a otros tipos de patologías.

  31. Ecocardiograma Rancagua

    En los procedimientos del examen de ecocardiograma se suelen colocar electrodos sobre el pecho del paciente para obtener un electrocardiograma al mismo tiempo que se realiza la ecocardiografía, ya que aporta información para el especialista.

  32. calidad en atención centro de imagenología Rancagua

    La resonancia magnética cardíaca es una técnica diagnóstica de imagen no invasiva, que permite estudiar las estructuras y función del corazón, es capaz de obtener imágenes de alta calidad, en cualquier plano y con excelente diferenciación de los tejidos, de gran utilidad en la detección de enfermedades cardíacas congénitas y adquiridas.

  33. calidad en atención centro de imagenología Rancagua

    Tratándose de una profesión mundialmente reconocida por sus aportes en los sistemas de salud, el Día Internacional de la Enfermera y el enfermero tiene el objetivo de recordar y destacar la importancia que tiene esta profesión para la sociedad.

    El ICN este año 2019 conmemora este día con el lema "Enfermera: Una voz para liderar la salud para todos"

  34. Resonancia Magnética 3Teslas Rancagua

    Destacamos nuestra labor de educar a la comunidad sobre temas importantes de salud y cáncer de mama en diario el tipógrafo

  35. Resonancia Magnética 3Teslas Rancagua

    En Rancagua centro de diagnóstico San Lorenzo recibe en sus instalaciones un nuevo resonador de alto campo magnético 3 Teslas

  36. Importancia de un diagnóstico oportuno de alzheimer

    Uno de los motivos de consulta frecuentes en la consulta de un neurólogo o geriatra son los trastornos de la memoria, ya sea para hechos recientes o remotos. Olvidos de palabras, sucesos, nombres. Frente a estos casos de sospecha, se recomienda consultar directamente a su médico de cabecera, sobre todo para descartar alguna otra razón de la pérdida de memoria o cambio en la conducta.


    Raúl guiñez junto a presidentas de fundaciones Vi-Da y nueva Vida

    Centro de imagenología San Lorenzo firmó una importante alianza con las fundaciones Nueva Vida de Rancagua y VI-DA de San Fernando, que permitirá a pacientes con escasos recursos económicos a tener acceso a la moderna y única tecnología de imágenes oncológicas en la región, PET-CT.


  37. La Resonancia Magnética mamaria y su rol clave contra el cáncer de mama

    La Resonancia Magnética mamaria se ha posicionado como un examen clave en pacientes con cáncer de mama. La tecnología de imágenes aporta al médico tratante detalles importantes para un mejor análisis del cáncer diagnósticado.

  38. PET-CT y su aporte al tratamiento del cáncer de mama

    PET-CT es uno de los principales exámenes que el Centro Diagnóstico San Lorenzo ha incorporado para el tratamiento del cáncer de mama. El gran aporte de sus imágenes permite a los especialistas a realizar un diagnóstico más preciso y exacto en el paciente.

  39. El cáncer colorrectal se lleva la vida de tres chilenos diariamente. Sin embargo, con una detección precoz desde los 50 años se puede disminuir el riesgo de muerte.

  40. La detección temprana del cáncer de mamá a través de los exámenes correspondientes aumenta la posibilidad de derrotarlo en un 90%. Una enfermedad que cobra la vida de tres chilenas diariamente.

  41. El cáncer de mama y estómago son las principales enfermedades oncológicas en Chile. Una vida saludable y más visitas al médico son claves para prevenir o derrotar estos cánceres.

  42. La amplia tecnología de imágenes del Centro Diagnóstico San Lorenzo es un aporte importante en la detección del cáncer de cabeza y cuello, donde destacan exámanes como el PET-CT, Resonancia magnética, Ecografía y Radiografía.

  43. Centro de imagenología San Lorenzo te entrega 6 consejos para reducir el riesgo de una enfermedad cardiovascular y motivar la vida saludable en todos los chilenos.

Revisa tus exámenes

Es fácil y rápido, empieza ahora!

Whatsapp

Reserva telefónica 72 297 7100