Alzheimer: La importancia de detectarlo a tiempo

Un temprano diagnóstico puede contribuir a retrasar los efectos de la enfermedad.

Chile se envejece a pasos agigantados, dado que tenemos expectativas de vida tan buenas o mejores que otros países desarrollados. Eso es una gran noticia. La mala, es que el envejecimiento es uno de los principales factores de riesgo para desarrollar enfermedades tan devastadoras como el Alzheimer. Tanto para el propio paciente como para su entorno familiar.

Uno de los motivos de consulta frecuentes en la consulta de un neurólogo o geriatra son los trastornos de la memoria, ya sea para hechos recientes o remotos. Olvidos de palabras, sucesos, nombres. Frente a estos casos de sospecha, se recomienda consultar directamente a su médico de cabecera, sobre todo para descartar alguna otra razón de la pérdida de memoria o cambio en la conducta.

Cuando esto se trata de un cuadro clínico, su médico hará un examen completo con el fin de descartar enfermedades generales que puedan explicar el decaimiento intelectual: Algunos por nombrar son perfiles de sangre (generales, de lípidos, tiroideos), entrevista al paciente, a sus familiares cercanos, y también la evaluación de antecedentes familiares. Posteriormente efectuará evaluación de rendimientos intelectuales, lo que se denomina Evaluación neuropsicológica, con test especiales.

Si ha confirmado la existencia de un decaimiento intelectual y ha descartado factores de riesgo extracerebrales, entonces se abocará al estudio de su cerebro con exámenes dedicados, tanto morfológicos para descartar tumores, lesiones vasculares, inflamatorias y degenerativas. Para eso contará con exámenes como TAC, Resonancia Magnética, y Electroencefalografía por mencionar algunos de los más conocidos.

Si finalmente se llega a la conclusión que está frente a una Enfermedad de Alzheimer en etapa precoz, podrá optar por tratamientos que enlentezcan el avance de la enfermedad y terapias de estimulación de capacidades mentales indemnes o con poco daño.

El Alzheimer en Chile y la oportunidad de detectarlo a tiempo

De acuerdo al estudio Nacional de la dependencia y datos de la encuesta Nacional de Salud, se estima que aproximadamente el 3% de la población sobre los 60 años podría padecer esta enfermedad y cerca del 40% en personas sobre los 80 años, sólo para el año 2025, especialistas proyectan que serán más de 550 mil personas las que podrían presentar alguna forma de demencia, o sea aproximadamente el 3% de la población.


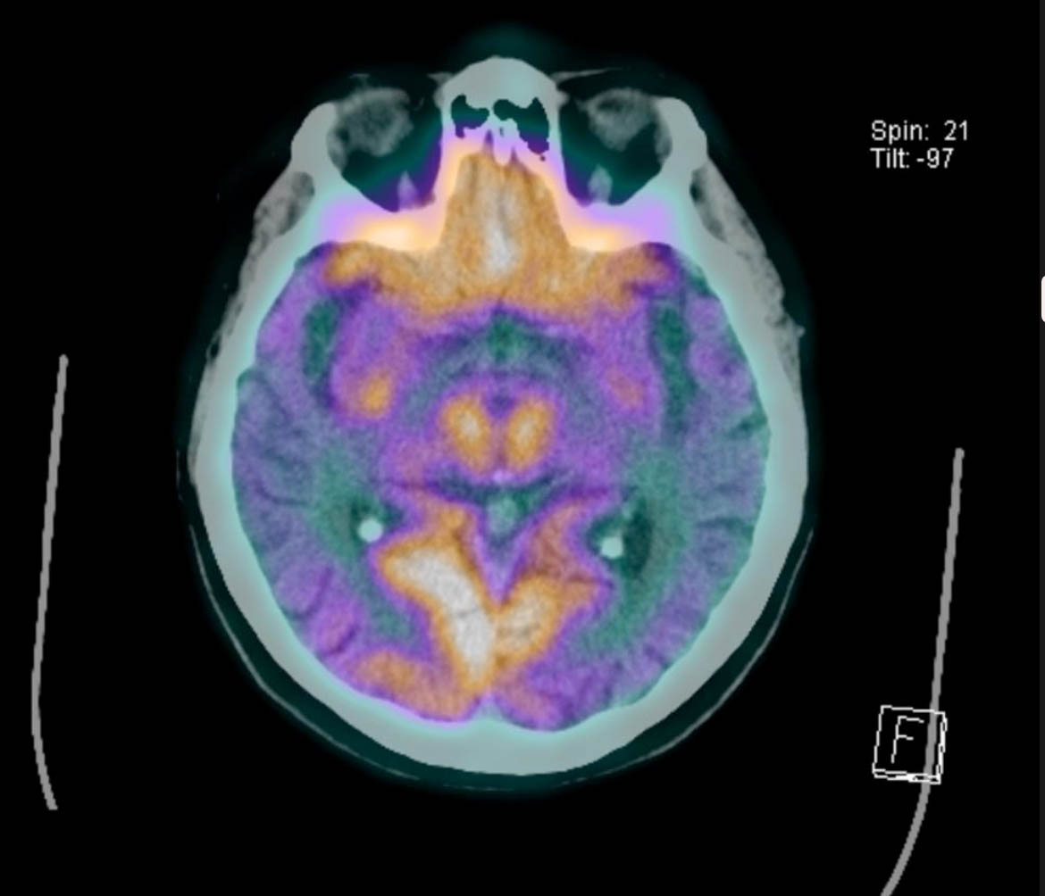
Imagen de PET-CT en enfermo con Alzheimer en que las zonas de color naranja son normales, pero extensas zonas de su corteza cerebral no se aprecian del mismo color (zonas de daño).

¿Por qué es importante detectarlo oportunamente?

Siendo popularmente conocida como demencia senil o "arterioesclerosis cerebral". El Dr. Milton Quiroz, neurorradiólogo de centro de diagnóstico San Lorenzo destaca “Gracias a los avances en tecnología de imagen médica con los que contamos a nivel mundial, y ahora también en nuestro centro de diagnóstico y para toda la zona centro sur. Hoy podemos retrasar su progresión, e incluso, adelantarnos al diagnóstico en varios años antes de que empiece el deterioro, permitiendo a médicos especialistas que atiendan a pacientes con sospechas y su familia, planificar mejor el futuro. Por nuestra parte como centro de diagnóstico, nos propusimos en el 2017 contar con un PET-CT para este tipo de estudios, y hoy en 2019 ya estamos ad portas de adquirir un nuevo resonador magnético de 3 teslas, que gracias a su alto campo magnético y calidad en imagen (Mayor resolución en imagen), podremos disponer de mejor tecnología en estudios al cerebro, sin variación en precios para que pueda ser accesible para la mayoría de la población”.

En centro de diagnóstico San Lorenzo, gracias a nuestro compromiso y mejora continua en disponer de tecnología y personal capacitado en apoyo al diagnóstico de patologías de alta complejidad, apoyamos clínicamente a médicos especialistas y pacientes de la zona centro sur para diagnosticar oportunamente enfermedades como el alzheimer.

Algunos consejos para un cerebro saludable que te podemos recomendar son:

> Tener una vida social activa en contacto con otros

> Consumir frutos secos con buena fuente en vitamina E

> Estimular la creatividad a través de actividades intelectuales y saludables

> Realizar ejercicio moderado y mantener una vida activa físicamente

> Beber vino con moderación, varios estudios y la OMS recomiendan las propiedades antioxidantes previniendo y beneficiando en el envejecimiento cerebral y las posibilidades de sufrir Alzheimer

Consulta por nuestros exámenes a nuestra mesa central de informaciones llamando al fono 72 297 7100 o en nuestra sección de contacto haciendo clic aquí

Reserva telefónica 72 297 7100